Can Sleepy Discoveries Lead to Real Innovation?
Have you ever woken up in the middle of the night before a big test and suddenly remembered a key concept you missed while studying? I have, and it turns out those moments aren’t just fueled by pre-exam jitters. They are a part of what French biologist François Jacob called “Night science,” a term he coined in the 1980s.
In 1865, after a long day, German organic chemist, August Kekulé, one of the most prominent European scientists of his time, dozed off in front of his fireplace and dreamt of a snake eating its own tail. Later, that image inspired his idea for benzene’s ring structure, which, like the snake, is a closed loop of bonded carbon atoms (1). In addition it is an essential part of organic chemistry (2). Similarly, another scientist, Otto Loewi, had a dream that changed his career. In it, he envisioned an ideal experiment involving the transmission of nerve impulses. Inspired, he rushed to his lab before dawn to test his idea on frog hearts. These experiments led to his discovery of the first neurotransmitter, which eventually earned him a Nobel prize.
Jacob described “day science” as systematic, methodological, and focused on hypothesis testing. It is a controlled, procedural category of research that happens in labs (1). “Night science,” on the other hand, happens when the brain isn’t actively focused on a task, often during sleep. In the podcast Night Science, co-founded by scientists Itai Yanai and Martin Lercher, they explain that night science is about generating hypotheses rather than testing them. It’s about asking questions that could lead to experiments. They say the key is to not think (or “dream”) so narrowly that you shut out new ideas but not so loosely that you lose focus (3).
Yanai and Lercher also founded the Night Science Institute, a nonprofit that aims to shift the culture of science by training researchers to embrace their creativity. “Night science is the ideation stage, coming up with new ideas. But those ideas mean nothing unless you test them, which is the role of day science,” said Yanai. They argue that modern science puts too much emphasis on testing and producing results for profit or advancement. Namely, the NIH (National Institutes of Health) gives most grants for hypothesis testing and producing results for profit or advancement. Alternatively, Yanai and Lercher hope to bring more creativity and collaboration into research (4).
So, why were Kekulé and Loewi able to make groundbreaking discoveries in their sleep? Creative thought often comes from reorganizing knowledge we already have, and sleep helps that process. Both REM (rapid eye movement sleep) and non-REM sleep contribute to creativity in different ways. Moving back and forth between the two creates a complex knowledge framework that allows existing knowledge to be restructured (5).
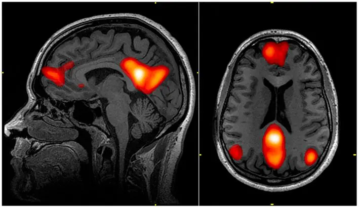
Researchers have also used resting-state fMRIs to look at how different parts of the brain communicate. They found that highly creative people have stronger connections between the left inferior frontal gyrus (the brain’s control center) and the default mode network, which is linked to imagination and mind-wandering. In other words, creative people show stronger communication between the regions involved in control and imagination (6).

Scientists at Pennsylvania State University have also studied how the brain’s default mode network (DMN) activates when the mind isn’t focused on outside stimuli, like when you’re about to fall asleep (7). The DMN plays a major role in creativity, and some researchers believe it may directly drive creative thinking (8).
Sleep is usually when scientists step away from their work, but it may also be when their most original ideas form. Night science reminds us that taking a break from constant testing can open the door to discovery.
Sources
- Lin, Y. T. (2025, March 6). Beyond day science: How night science drives scientific breakthroughs. Knight-Hennessy Scholars. https://knight-hennessy.stanford.edu/news/beyond-day-science-how-night-science-drives-scientific-breakthroughs
- Renneboog, R. M. (2022). Benzene and other rings. EBSCO Research Starters. https://www.ebsco.com/research-starters/chemistry/benzene-and-other-rings
- Yanai, I., & Lercher, M. (n.d.). Night Science. Night Science Institute. https://night-science.org/
- Yanai, I., & Lercher, M. (2025, September 8). The Night Science Institute is changing how science teaches creativity. Technology Networks. https://www.technologynetworks.com/genomics/articles/the-night-science-institute-is-changing-how-sciences-teaches-creativity-404486
- Lewis, P. A. (2018). How memory replay in sleep boosts creative problem solving. Trends in Cognitive Sciences, 22(6), 493–503.https://pmc.ncbi.nlm.nih.gov/articles/PMC7543772/
- Beaty, R. E. (2014). Creativity and the default network: A functional connectivity analysis of the creative brain at rest. Neuropsychologia, 64, 92–98. https://pmc.ncbi.nlm.nih.gov/articles/PMC4410786/?utm_
- Callard, F. (2014). What we talk about when we talk about the default mode network. Frontiers in Human Neuroscience, 8, 619. https://pmc.ncbi.nlm.nih.gov/articles/PMC4142807/
- Luchini, S. A., Volle, E., & Beaty, R. E. (2025). The role of the default mode network in creativity. Current Opinion in Behavioral Sciences, 65, 101551. https://pure.psu.edu/en/publications/the-role-of-the-default-mode-network-in-creativity?utm_






Comments are closed.